Лечение некроза

На ранних стадиях пневмония хорошо поддается лечению. Если терапия подобрана и проведена правильно, выздоровление может наступить уже через 10-14 дней.
О лечении

Пневмония - это общее название группы воспалительных заболеваний легких. Болезнь может быть первичной или стать последствием другого заболевания. Вне зависимости от причины, пневмония - серьезная болезнь, которую нельзя пытаться лечить самостоятельно. При первых подозрениях необходимо как можно быстрее обратиться к врачу.

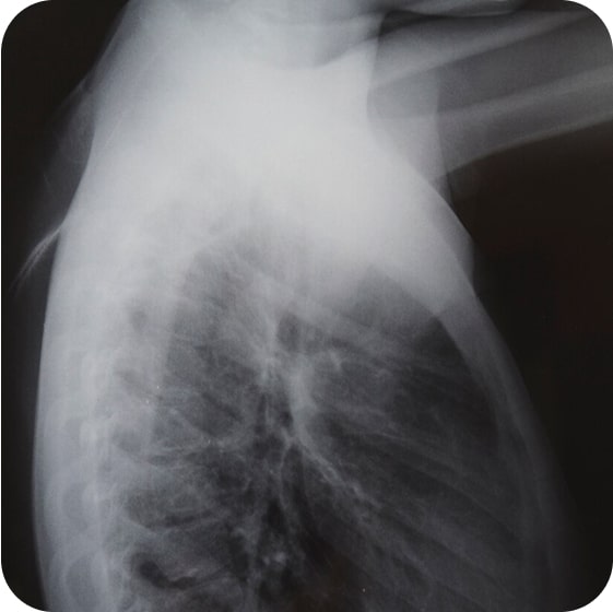
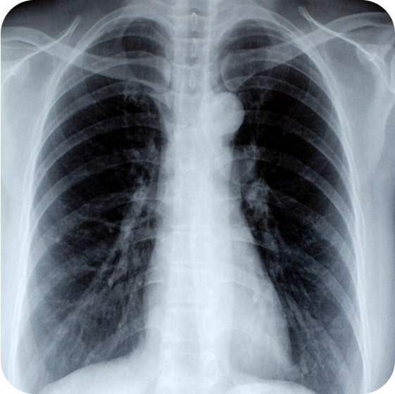
Определить болезнь можно с помощью рентгенографии или компьютерной томографии легких. На снимке будет видно, поражен ли орган.

Виды пневмонии
Первичная
Это значит, что заболевание является самостоятельным.
Вторичная
Пневмония является осложнением, полученным в ходе другой болезни.
Радиационная
Воспаление развилось на фоне химиотерапии.
Посттравматическая
Заболевание возникло вследствие травмы.
Симптомы пневмонии

Пневмония проявляет себя с ранних этапов развития. Симптомы обычно проявляются остро, а их количество стремительно увеличивается.

  • Озноб
  • Общая слабость
  • Острая головная боль
  • Боль в мышцах
  • Повышенная потливость

Еще одним симптомом пневмонии является постоянный кашель.Он проявляется уже на 3-5 сутки после начала заболевания. Изначально кашель сухой, но с течением времени начинает сопровождаться отхаркиванием мокроты. Вместе с ним появляется боль в груди, которая усиливается при вдохе.

Осложнения
Легочные
Абсцедирование.
плеврит и эмпиема плевры;
присоединение астматического компонента;
отек легкого и развитие острой легочной недостаточности.
Внелегочные
Инфекционно-токсический шок;
инфекционно-аллергический миокардит;
инфекционный эндокардит;
менингит или менингоэнцефалит;
Лечение пневмонии

Такой подход считается предпочтительным, так как при воспалении легких велик риск осложнений. Пациент должен находиться под постоянным присмотром врача и четко следовать программе терапии.

Основным методом терапии является прием медикаментозных препаратов, в первую очередь антибиотиков. Оптимальная программа приема составляется врачом с учетом ряда факторов:

  • причины развития заболевания;
  • степени и объема поражения тканей;
  • локализации очага воспаления;
  • наличия сопутствующих заболеваний и осложнений;
  • общего состояния пациента и тяжести симптомов.
Диагностика заболевания
Рентгенографическое исследование легких
С его помощью можно выявить новообразования и очаги воспалительных процессов.
Компьютерная томография
Данный метод также использует рентгеновское излучение, но позволяет получить более точное изображение исследуемой области «по слоям».
Пульсоксиметрия
Экспресс-метод, который позволяет определить степень насыщения артериальной крови кислородом.
Спирометрия
Методика, которая позволяет определить основные показатели работы легких: объем выдыхаемого воздуха, скорость дыхания и другие.
Показания и противопоказания к процедуре
Показания при заболевании
если пневмония в легкой стадии лечится в домашних условиях, для максимальной эффективности терапии требуется обеспечить человеку соответствующий уход с преобладанием постельного режима;
специальная диета, в результате которой улучшаются анализы, устраняются причины сопутствующих заболеваний. Для этого необходимо убрать из рациона жирную и тяжелую пищу, отдавать предпочтение фруктово-овощной диете. Таким образом можно существенно улучшить общие показатели анализов крови;
употребление достаточного количества жидкости для отведения мокроты. Помимо этого, таким образом снижается температура. Рекомендуется выпивать около трех литров воды, натуральных соков;
физиотерапевтическое лечение показано в некоторых случаях, что дает возможность снизить риски осложнений после пневмонии.
Противопоказания при заболевании
игнорирование серьезности заболевания и отсутствие лечения, что приводит к запущенной форме и осложнениям;
чрезмерная физическая активность, перехаживание с температурой, что усугубляет течение патологического процесса. При выявлении первых признаков и симптомов необходимо снизить активность и проверить организм на наличие вирусов, болезнетворных бактерий;
курение и алкоголизм полностью противопоказаны при пневмонии;
переохлаждение организма и посещение бани, сауны, поскольку чрезвычайно высокая температура уже испытывает организм больного на прочность, а в бане сердечно-сосудистая система может не выдержать чрезмерной нагрузки.
Почему стоит обратиться к нам?
Специалисты высокого уровня
Круглосуточный стационар
Все виды лабораторных исследований
Современное оборудование
Результаты
До лечения
После лечения
До лечения
После лечения
Врачи
Родионова Елизавета Марковна
Терапия
Родионова
Елизавета Марковна
Врач высшей категории
Отзывы пациентов
Анастасия К.
17.08.2025
Я очень довольна услугами доктора! Он проявил профессионализм и заботу о моем здоровье. Он был очень внимательным и терпеливым, когда я задавала ему множество вопросов. Очень важно, когда доктор вникает в суть проблемы, что я и увидела здесь. Он объяснил мне все мои симптомы и предоставил мне необхо...
Читать отзыв полностью
Алексеев Григорий Максимович
Алексеев Григорий Максимович
Хирургия, Кардиология
Виктория С.
1.08.2025
Я обратилась к Тимофееву Александру Никитичу с проблемой. Доктор внимательно выслушал все мои жалобы, задал мне дополнительные вопросы и провел необходимые обследования, был очень внимателен и доброжелателен. Александр Никитич четко и понятно объяснил мне диагноз и назначил лечение. Я почувствовала,...
Читать отзыв полностью
Тимофеев Александр Никитич
Тимофеев Александр Никитич
Кардиология
Алексей
30.07.2025
Владимир К.
28.07.2025
Выражаю огромную благодарность доктору за его профессионализм и заботу о моем здоровье. Я обратился к нему с проблемой, которая мучила меня уже долгое время, и доктор сразу же приступил к обследованию и выявлению причины моих недугов. Помимо этого, сразу после диагностики врач посоветовал провести д...
Читать отзыв полностью
Бирюкова Ульяна Викторовна
Бирюкова Ульяна Викторовна
Травматология
Максим
20.07.2025
Я очень доволен услугами доктора! Он проявил профессионализм и заботу о моем здоровье. Он был очень внимательным и терпеливым, когда я задавал ему множество вопросов. Он объяснил мне все мои симптомы и предоставил мне необходимую информацию о лечении. Я чувствую себя гораздо лучше после его консультации. Я бы порекомендовал доктора всем своим друзьям и знакомым, так как он является истинным профессионалом в своей области. Большое спасибо, доктор!
Михаил
18.07.2025
Анна С.
14.07.2025
Выражаю огромную благодарность и признательность врачу Алексееву Григорию Максимовичу. Доктор был очень внимателен и заботился о моем здоровье, проводил дополнительные исследования, чтобы убедиться, что я получаю наилучшее лечение. Он также проявлял чуткость к моим опасениям и боязням, и всегда гото...
Читать отзыв полностью
Алексеев Григорий Максимович
Алексеев Григорий Максимович
Хирургия, Кардиология
Александр О.
30.06.2025
Я очень доволен услугами врача Журавлёвой Ирины Артёмовны. Доктор была очень внимательна к моим проблемам, которые беспокоили меня последний месяц Ирина Артёмовна провела тщательное обследование и назначила необходимые процедуры и лечение, которые помогли мне быстро справиться с моими недугами. Проф...
Читать отзыв полностью
Журавлёва Ирина Артёмовна
Журавлёва Ирина Артёмовна
Офтальмология
Отзыв
Я очень доволен услугами врача Журавлёвой Ирины Артёмовны. Доктор была очень внимательна к моим проблемам, которые беспокоили меня последний месяц Ирина Артёмовна провела тщательное обследование и назначила необходимые процедуры и лечение, которые помогли мне быстро справиться с моими недугами. Профессионализм виден невооруженным взглядом. Я остался очень доволен результатом и с благодарностью рекомендую этого врача всем, кто нуждается в квалифицированной медицинской помощи. Только положительные эмоции. Спасибо за вашу работу!
Закрыть
Отзыв
Я очень довольна услугами доктора! Он проявил профессионализм и заботу о моем здоровье. Он был очень внимательным и терпеливым, когда я задавала ему множество вопросов. Очень важно, когда доктор вникает в суть проблемы, что я и увидела здесь. Он объяснил мне все мои симптомы и предоставил мне необходимую информацию о лечении. Бывала у многих специалистов, но именно здесь ощутила высокое качество оказанных услуг. Я чувствую себя гораздо лучше после его консультации. Я бы порекомендовала доктора всем своим друзьям и знакомым, так как он является истинным профессионалом в своей области. Большое спасибо, доктор!
Закрыть
Отзыв
Я обратилась к Тимофееву Александру Никитичу с проблемой. Доктор внимательно выслушал все мои жалобы, задал мне дополнительные вопросы и провел необходимые обследования, был очень внимателен и доброжелателен. Александр Никитич четко и понятно объяснил мне диагноз и назначил лечение. Я почувствовала, что моя проблема решается, и это дало мне большой комфорт. Я также оценила профессионализм врача, который знает свое дело и умеет помогать людям. В целом, я очень довольна услугами этого врача и рекомендую ее всем, кто нуждается в квалифицированной медицинской помощи. Спасибо за труд и усилия в помощи мне в моей проблеме со здоровьем.
Закрыть
Отзыв
Выражаю огромную благодарность доктору за его профессионализм и заботу о моем здоровье. Я обратился к нему с проблемой, которая мучила меня уже долгое время, и доктор сразу же приступил к обследованию и выявлению причины моих недугов. Помимо этого, сразу после диагностики врач посоветовал провести дополнительное обследование. Он провел все необходимые процедуры и назначил эффективное лечение, которое дало результат уже через несколько дней. Я очень доволен результатом и благодарен доктору за его профессиональный подход и внимание к моим проблемам. Я рекомендую его услуги всем, кто нуждается в квалифицированной медицинской помощи. Спасибо, доктор!
Закрыть
Отзыв
Выражаю огромную благодарность и признательность врачу Алексееву Григорию Максимовичу. Доктор был очень внимателен и заботился о моем здоровье, проводил дополнительные исследования, чтобы убедиться, что я получаю наилучшее лечение. Он также проявлял чуткость к моим опасениям и боязням, и всегда готов был ответить на все мои вопросы. Я чувствовала себя в безопасности и оценила профессионализм доктора и опытность в работе. Григорий Максимович действительно знает свою работу и это отражается в том, как он обращается с пациентами. Благодаря его усилиям, я чувствую себя лучше, чем когда-либо. Спасибо, доктор!
Закрыть
Отзыв
Я очень доволен услугами врача Журавлёвой Ирины Артёмовны. Доктор была очень внимательна к моим проблемам, которые беспокоили меня последний месяц Ирина Артёмовна провела тщательное обследование и назначила необходимые процедуры и лечение, которые помогли мне быстро справиться с моими недугами. Профессионализм виден невооруженным взглядом. Я остался очень доволен результатом и с благодарностью рекомендую этого врача всем, кто нуждается в квалифицированной медицинской помощи. Только положительные эмоции. Спасибо за вашу работу!
Закрыть
Записаться на прием
Администратор ответит на все ваши вопросы и поможет записаться на прием к специалисту
Имя
Врач
Алексеев Григорий Максимович
Бирюкова Ульяна Викторовна
Гончарова Екатерина Даниэльевна
Журавлёва Ирина Артёмовна
Золотов Александр Олегович
Котова Арина Александровна
КТ (компьютерная томография)
МРТ (магнитно-резонансная томография)
МРТ (магнитно-резонансная томография)
Осипов Сергей Леонидович
Попов Матвей Маркович
Рентген
Родионова Елизавета Марковна
Тимофеев Александр Никитич
Ухолов Тимур Иванович
Ушкалова Виктория Евгеньевна
Шестаков Антон Александрович
Телефон
Филиал
Клиника на Беговой
Клиника на Белорусской
Клиника на Вернадского
Клиника на Полежаевском
Клиника на проспекте Мира
Клиника на Соколе
Направление
Абдоминальный хирург
Акушер
Акушерка
Алголог
Аллерголог
Андролог
Анестезиолог-реаниматолог
Аритмолог
Артролог
Афазиолог
Бариатрический хирург
Венеролог
Вертебролог
Врач ЛФК
Врач общей практики (семейный врач)
Врач подолог (подиатр)
Врач скорой помощи
Врач УЗИ
Врач физической и реабилитационной медицины (ФРМ)
Врач эфферентной терапии
Врач-косметолог
Гастроэнтеролог
Гастроэнтерология
Гематолог
Гематология
Гемостазиолог
Генетик
Гепатолог
Гериатр (геронтолог)
Гинеколог
Гинеколог-хирург
Гинеколог-эндокринолог
Гинекология
Гипнолог
Гирудотерапевт
Гнатолог
Гнойный хирург
Гомеопат
Дерматовенеролог
Дерматолог
Детский аллерголог
Детский андролог
Детский анестезиолог-реаниматолог
Детский аритмолог
Детский венеролог
Детский вертебролог
Детский врач ЛФК
Детский врач УЗИ
Детский врач-косметолог
Детский гастроэнтеролог
Детский гематолог
Детский генетик
Детский гепатолог
Детский гинеколог
Детский гинеколог-эндокринолог
Детский гнатолог
Детский гомеопат
Детский дерматолог
Детский диетолог
Детский иммунолог
Детский инструктор ЛФК
Детский инфекционист
Детский кардиолог
Детский кардиохирург
Детский кинезиолог
Детский ЛОР
Детский ЛОР-хирург
Детский маммолог
Детский мануальный терапевт
Детский массажист
Детский миколог
Детский нарколог
Детский невролог
Детский нейропсихолог
Детский нейрохирург
Детский нефролог
Детский нутрициолог
Детский онколог
Детский онколог-дерматолог
Детский ортодонт
Детский ортопед
Детский остеопат
Детский отоневролог
Детский офтальмолог
Детский пародонтолог
Детский пластический хирург
Детский подолог (подиатр)
Детский проктолог
Детский психиатр
Детский психолог
Детский психотерапевт
Детский пульмонолог
Детский реабилитолог
Детский ревматолог
Детский рентгенолог
Детский рефлексотерапевт
Детский сексолог
Детский сомнолог
Детский сосудистый хирург
Детский спортивный врач
Детский стоматолог
Детский стоматолог-гигиенист
Детский стоматолог-ортопед
Детский стоматолог-хирург
Детский сурдолог
Детский торакальный хирург
Детский травматолог
Детский трихолог
Детский уролог
Детский физиотерапевт
Детский флеболог
Детский фониатр
Детский фтизиатр
Детский хирург
Детский хирург-ортопед
Детский хирург-травматолог
Детский челюстно-лицевой хирург
Детский эндокринолог
Детский эпилептолог
Дефектолог
Диабетолог
Диетолог
Иммунолог
Инструктор ЛФК
Инфекционист
Кардиолог
Кардиология
Кардиохирург
Кинезиолог
Кистевой хирург
Клинический психолог
Клинический фармаколог
Косметолог-эстетист
КТ (компьютерная томография)
Лабораторный генетик
Лазерный хирург
Лимфолог
Логопед
Логопед для взрослых
ЛОР
ЛОР-хирург
Малоинвазивный хирург
Маммолог
Мануальный терапевт
Массажист
Медсестра
Миколог
МРТ (магнитно-резонансная томография)
Нарколог
Невролог
Неврология
Нейропсихолог
Нейроуролог
Нейрофизиолог
Нейрохирург
Неонатолог
Нефролог
Нутрициолог
Ожоговый хирург (комбустиолог)
Онколог
Онколог-гематолог
Онколог-гинеколог
Онколог-дерматолог
Онколог-маммолог
Онколог-проктолог
Онколог-уролог
Оптометрист
Ортопед
Остеопат
Отоневролог (Вестибулолог)
Оториноларингология
Офтальмолог (окулист)
Офтальмолог-хирург
Офтальмология
Паразитолог
Пародонтолог
Педиатр
Перинатолог
Пластический хирург
Подолог-эстетист
Проктолог (колопроктолог)
Проктология
Профпатолог
Психиатр
Психоаналитик
Психолог
Психотерапевт
Пульмонолог
Радиолог
Радиотерапевт
Реабилитолог
Ревматолог
Рентген
Рентгенолог
Репродуктолог
Рефлексотерапевт
Сексолог
Семейный психолог
Сомнолог
Сосудистый хирург (ангиохирург)
Специалист по грудному вскармливанию
Спортивный врач
Стоматолог
Стоматолог-гигиенист
Стоматолог-имплантолог
Стоматолог-ортодонт
Стоматолог-ортопед
Стоматолог-хирург
Стоматолог-эндодонтист
Стоматология
Судебно-медицинский эксперт
Сурдолог
Терапевт
Терапия
Токсиколог
Торакальный онколог
Торакальный хирург
Травматолог
Травматология
Трансфузиолог
Трихолог
УЗИ-диагностика
Уролог
Урология
Фельдшер
Физиотерапевт
Фитотерапевт
Флеболог
Флебология
Фониатр
Фтизиатр
Функциональный диагност
Химиотерапевт
Хирург
Хирург-ортопед
Хирург-травматолог
Хирург-эндокринолог
Хирургия
Челюстно-лицевой хирург
Эмбриолог
Эндокринолог
Эндокринология
Эндоскопист
Эпилептолог
Эрготерапевт
Заказать звонок
Мы свяжемся с вами в ближайшее время
Имя
Телефон
Вызвать врача на дом
Оставьте Ваши контактные данные, и мы перезвоним Вам.
Имя
Телефон
Адрес
Врач
Алексеев Григорий Максимович
Бирюкова Ульяна Викторовна
Журавлёва Ирина Артёмовна
Котова Арина Александровна
Тимофеев Александр Никитич
Сообщение